Confira as principais notícias do dia no Clipping da Agência Aids (21/11)

Ouça esta postagemCarregando...
1.0x

Agência de Saúde dos EUA altera site e passa a publicar textos antivacina

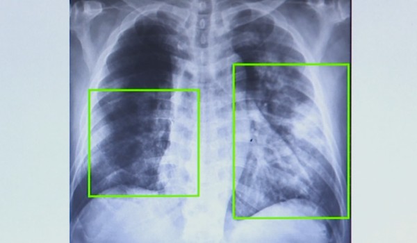
Atendimentos por pneumonia quase dobram em 7 meses na região de Campinas. — Foto: Reprodução EPTV

Casos de pneumonia aumentam 20% em SP; vacina contra a doença é oferecida de graça no SUS

Remédio promissor prolonga vida de pacientes com câncer de próstata avançado, mas não está disponível no SUS

Apoios